Ensino

Professora é ferida em sala de aula após episódio de agressividade de aluno em Flórida Paulista

Caso envolve criança de 5 anos. Prefeitura afirma que apura fatos e presta suporte à educadora.

Por: Da Redação atualizado: 16:35
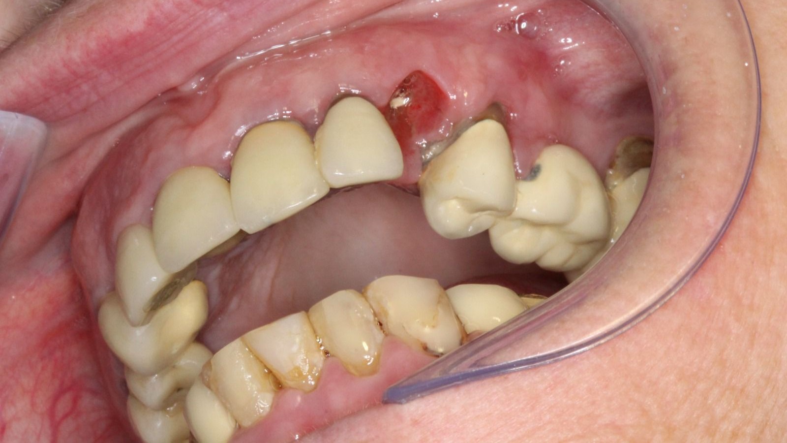
Professora teve protese arrancada depois de ser atingida com soco pela criana (Cedida). Professora teve protese arrancada depois de ser atingida com soco pela criana (Cedida).

Um episódio de violência em sala de aula, registrado em uma unidade de ensino infantil de Flórida Paulista, trouxe à tona um cenário de tensão envolvendo comportamento agressivo recorrente de um aluno e os impactos físicos e emocionais causados a uma educadora.

O caso ocorreu na EMEI Criança Feliz (EMEI Davi Lucca Bernardes) e envolve uma criança com pouco mais de cinco anos e uma professora de 59 anos, já aposentada no magistério estadual e integrante do quadro do magistério municipal. Conforme relato encaminhado ao portal Siga Mais, o aluno apresentaria histórico de episódios de agressividade, com arremesso de objetos e até móveis dentro da sala. Na situação mais recente, a educadora teria sido atingida com um soco no rosto, enquanto organizava cadeiras no ambiente escolar.

EMEI Davi Lucca Bernardes (Fanpage).

Com o impacto, a professora teve uma prótese dentária arrancada, o que exigiu atendimento de urgência e posterior procedimento cirúrgico. Ainda segundo as informações apuradas, episódios anteriores já teriam resultado em marcas físicas na educadora, como hematomas, atribuídos ao mesmo aluno.

Além dos danos físicos, o caso também evidencia abalo emocional à profissional, diante da recorrência das situações e do ambiente de insegurança em sala de aula. Os relatos indicam ainda que as ocorrências teriam sido comunicadas previamente à gestão municipal, sem que, até então, houvesse uma solução considerada eficaz para conter os episódios. 

Pontuando que não teve o apoio médico e odontológico emergencial por parte do poder público, a educadora busca agora o ressarcimento das despesas decorrentes do atendimento emergencial acessado, após a agressão.

Publicidade

Unimed Adamantina
Parfum Perfumes Importados

Publicidade

Rede Sete Supermercado
Dr. Paulo Tadeu Drefahl | Cirurgião Plástico

Prefeitura diz que apura caso e reforça suporte

Procurada, a Prefeitura de Flórida Paulista, por meio da Secretaria Municipal de Educação, informou que tomou conhecimento dos fatos e determinou a apuração rigorosa, com a instauração de procedimentos administrativos para esclarecer as circunstâncias do ocorrido.

Em nota (íntegra abaixo), o município destacou que adota protocolos específicos para situações de comportamento agressivo no ambiente escolar, priorizando a integridade física e emocional de alunos e profissionais. A administração também afirmou que a professora envolvida recebe acompanhamento e orientação de equipe multidisciplinar.

Sobre o aluno, a Prefeitura informou que a situação já vinha sendo acompanhada pela equipe gestora da unidade, com medidas pedagógicas, orientação à família e suporte técnico especializado, em conformidade com as diretrizes de proteção integral à criança.

Professora teve prótese arrancada após soco da criança (Cedida).Condição bucal após a cirurgia de emergência (Cedida).

Quanto à educadora, o município declarou que está prestando assistência médica e adotando as medidas administrativas necessárias. Eventuais pedidos de ressarcimento serão analisados conforme a legislação vigente, respeitando o devido processo legal.

A Secretaria Municipal de Educação também informou que irá reforçar ações de orientação, acompanhamento psicopedagógico e capacitação das equipes escolares, com o objetivo de prevenir novas ocorrências e garantir um ambiente seguro para toda a comunidade escolar.

O caso segue sob apuração.  

Publicidade

Cocipa - Venha ser um cooperado
WV Leilões

Publicidade

JVR Segurança
Supermercado Godoy

Íntegra da nota da Secretaria Municipal de Educação de Flórida Paulista:

“Em atenção à solicitação de esclarecimentos encaminhada por este respeitável veículo de comunicação acerca dos fatos noticiados envolvendo a EMEI Davi Lucca Bernardes, a Prefeitura Municipal de Flórida Paulista/SP, por meio da Secretaria Municipal de Educação, vem se manifestar nos seguintes termos:

Inicialmente, cumpre esclarecer que a Administração Municipal tomou ciência dos fatos relatados e, de imediato, determinou a apuração rigorosa da situação, com a instauração dos procedimentos administrativos cabíveis, a fim de verificar com precisão as circunstâncias do ocorrido.

A Secretaria Municipal de Educação informa que adota protocolos específicos para situações envolvendo comportamento agressivo no ambiente escolar, priorizando a integridade física e emocional de alunos e profissionais da educação, bem como a mediação pedagógica adequada para cada caso concreto, sendo que a docente em questão foi devidamente acompanhada e orientada pela equipe multidisciplinar do município.

No tocante ao caso mencionado, a equipe gestora da unidade escolar já vinha acompanhando a situação do aluno referido, com adoção de medidas pedagógicas e encaminhamentos necessários, inclusive com orientação à família e suporte técnico especializado, conforme as diretrizes educacionais e os princípios da proteção integral da criança, inclusive a genitora do menor já vinha sendo acompanhada pela equipe multidisciplinar do município.

Quanto à educadora envolvida, a Administração Municipal está prestando todo o suporte necessário, inclusive no que diz respeito à assistência médica e demais medidas administrativas pertinentes. Eventuais questões relativas a ressarcimento serão analisadas à luz da legislação vigente, assegurando-se o devido processo legal, contraditório e ampla defesa, motivo este pelo qual já estão sendo adotadas as apurações através dos meios administrativos legais.

Ressalta-se, ainda, que a Secretaria Municipal de Educação reforçará as ações de orientação, acompanhamento psicopedagógico e capacitação das equipes escolares, visando prevenir e mitigar situações semelhantes, garantindo um ambiente escolar seguro e acolhedor.

Por fim, a Administração reafirma seu compromisso com a transparência, a legalidade e a proteção de toda a comunidade escolar, permanecendo à disposição para quaisquer esclarecimentos adicionais que se fizerem necessários.

Atenciosamente,

Secretaria Municipal de Educação de Flórida Paulista”.

Publicidade

Prefeitura de Adamantina
FS Telecomunicações

Publicidade

ADT Drone